1年半、通院が途絶えた大きな病変を有する歯のその後
投稿日:2017年11月6日
カテゴリ:院長ブログ 根管治療(歯の神経の治療)
1年半前
右上7番、左上7番、左下5番に病変があります。
主訴は右上7番の痛みです。
これです

頑張って綺麗にし、

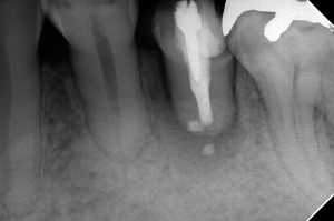
MTAを詰めました
MB2もあったようです

1年半経過。
久々にご来院頂けたので撮影すると、こんなにきれい治りました!!

左上7は、根尖から滲出液が止まらず、1回目のMTA充填は失敗。

2度目で不恰好ですがようやく詰めることが出来ました。
1年半後
この歯は、正直、諦めている自分がいて、外科的に治すことになりそうと思っていましたが
こんなに治ってくれました(^^♪
オーバーしたMTAは消失してますね。

上の2症例と比べると、地味ですが、
一年半後
これも良い感じですね(^^♪
いつも思うのが、経過観察は非常に重要です。
治ったかわからないのに、
「今回はマイクロスコープを使ったからきっとうまくいきます」
なんていうのはあり得ないです。
私が知っている上手な先生は皆さん、患者さんの経過をずっと追っている先生ばかりで、
お会計終わったからさようならみたいな先生は一流どころでは見たことがないです。
皆さま、ご面倒ではありますが、経過を追わせて頂くためにもメンテナンスはなるべくお願い致します<(_ _)>
さて、今月の徹夜会ですが
11/24㈮
21時~
内神田PMO11階 ドクターブック様のセミナー室
柳沢の補綴の話と
私の歯根端切除術のお話ですのでご興味のある先生はフルってご参加の程お願い致します。
■ 他の記事を読む■


