つめ物・被せ物(審美歯科)
このページの目次
審美歯科とは

実は審美歯科とは定義が難しく、具体的に「この治療は審美歯科です」という治療は存在しません。大学教育でも審美歯科学という学問は存在せず、矯正治療やセラミックなどの被せ物をいれることや、ホワイトニングなどを一括りにして呼ばれていることが多いようです。
日本歯科審美学会のHPより会の指針を読んでみると「歯科審美に関する学問と技術を研究し、国民に機能面、審美面で満足してもらえる歯科治療を普及することが目的」(かなり意訳しております)と書かれています。どこにもセラミックを入れることが審美歯科ですとは書かれていません。さらに、審美的でない被せ物を望む患者さんは世の中にはたして存在するのでしょうか。
患者さんのニーズに合わせ医療行為として適切であればそれが審美歯科です。巷にあふれる審美歯科の中には全く悪くない歯を削りセラミックをかぶせ、挙句の果てにはそれが原因で歯が悪くなるという症例が沢山あります。『審美歯科』という響きは確かに魅力的な響きでありますが、必ず「その治療は必要があるのか」ということを念頭に診療を受けるべきでしょう。
審美歯科の種類
上記の通り、審美歯科には明確な定義がありません。よってここでは当院で行われている、審美面の回復のために患者さんに提供することがある治療のいくつかを紹介いたします。
矯正治療

マウスピースで歯列矯正が可能な症例があります。すべての症例に適応可能ではないためご注意ください。可能な症例は前歯の軽度叢生(歯が重なりあっている症例)、正中離開(前歯の間が隙間が空いてしまっている)、歯性反対咬合(奥歯の歯並びが正常な受け口)など、限られております。難易度が高い症例は専門の先生に紹介させて頂いております。矯正治療は、歯の移動に伴う痛みや歯根の吸収が生じる場合があり、比較的治療期間が長くなります。また、治療計画通りに矯正が行われない場合には、矯正期間が延長する可能性もございます。
セラミック治療

セラミックを使用し、銀歯を白くすることがあります。また、前歯に限り、ほとんど削らないでセラミックを付け爪のように貼り付ける、ラミネートべニアという方法があります。上の歯に主に用いられ、下の前歯には強度の問題から適応されないことが多いです。
ホワイトニング

歯を漂白することで白くすることが可能です。セラミックは白くならないのでご注意ください。個人差もありますが、施術中に痛みを感じたり、一時的な知覚過敏になる場合がございます。
治療期間
| 矯正 | ワイヤーを使う治療は2年かかることが多いと言われています。マウスピース矯正は10カ月で終了することが多いです。ただし、人により動きやすい人、動きにくい人が居ますのであくまで目安になります。 |
|---|---|
| セラミック治療 | かたどりと装着の2回の通院が必要になりますが、難易度の高い症例では、あらかじめ削る前にかたどりをして、ワックスアップという完成図のようなものを患者さんに確認してもらってから治療に入ることがあります。さらに難易度の高い症例では技工士に立ち会いしてもらい細かくオーダーを聞くこともあります。 |
| ホワイトニング | ホームホワイトニング(家でマウスピースを使う方法)は2週間程度、オフィスホワイトニング(クリニックで紫外線を当てる方法)は1回の通院で治療可能です。 |
審美歯科の注意
治療に際し、セラミックを入れるために歯を削る必要が出てしまうケースがあるということを必ず忘れないでください。患者さんによっては何も悪くない歯を綺麗なセラミックにしようとする方もおられますが、まずは削らない方法、具体的にはホワイトニングや歯列矯正で対応可能かどうかをしっかり検証することが重要です。一度削った歯は再生させることは出来ませんので慎重に治療を行うべきか検討していただくことをお薦めします。
本当の審美歯科治療とは
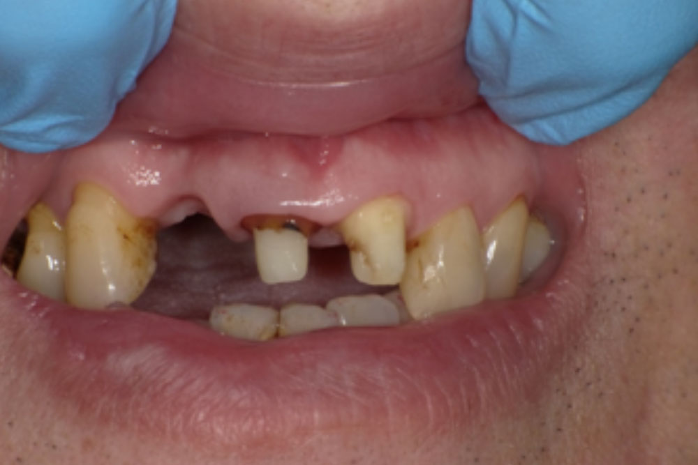
どんなにきれいな歯を入れても、その隣の歯が黒ずんでいたりキャラクターの強い歯であれば偽物っぽくなってしまいます。

例えばこのような症例で、ブリッジを入れるとしたら仮歯のように真っ白な歯を入れると逆に不自然になります。

また、通常、ブリッジは両隣の歯を削り中間の歯をダミーの歯に設定しますが、この症例は犬歯が反対咬合であり、犬歯はほとんど虫歯が無いということで土台として使うことをやめました。

あえて隣の歯に合わせ黄色さなどを再現することで自然に仕上げることも大事なことです。このようなイレギュラーな症例に対応する総合力が私の中では本当の審美歯科と考えています。また、削るのではなくなるべく削らないで審美面を回復することもできるのであれば、それは立派な審美歯科と言えるはずです。

このような症例で、一般的には歯全体を削ることが審美修復と言えるやり方なのかもしれませんが、患者さんが納得してくれる審美性と機能があれば、コンポジットレジン修復も審美修復と言えるはずです。
口腔内スキャナーTRIOS(トリオス)を駆使した快適・精密な型取り

ほうじょう歯科医院新日本橋では、セラミックのつめ物・かぶせ物の製作に必要な型取りを短時間で行える口腔内スキャナーTRIOS(トリオス)を完備しております。
一般的につめ物・かぶせ物の型取りには、アルジネートと呼ばれるガムのような材料を使用します。
アルジネートは型ずれが起きやすく、さらに固まるまでの間、お口にずっと入れておかなければならないため、オエッとなったり、不快感を感じたりする場合があります。
しかし、口腔内スキャナーTRIOS(トリオス)は、お口をスキャンするだけで精密な歯型を採取することができるため、嘔吐反射が強い方も気持ち悪くならずに快適な型取りが可能となります。
口腔内スキャナートリオスによる型取りの様子
▼こちらは口腔内スキャナートリオスによる型取りの様子です。どの位スムーズに精密な歯型が採取できるのかをぜひ、ご覧下さい。
詰め物・被せ物の料金
※下記金額は全て税込です。
※自費診療の再診料が別途1,100円(税込)必要。(令和3年5月より)
レジン充填(詰めもの)
| 名称 | イメージ | 特性 | 料金(税込) |
|---|---|---|---|
| 単純 | ![]() |
コンポジットレジンという歯科用プラスチックによるつめ物です。つめる箇所や色調が単純の場合はこちら。 | 22,000円 |
| 複雑 | ![]() |
コンポジットレジンという歯科用プラスチックによるつめ物です。つめる箇所や色調が複雑の場合はこちら。 | 33,000円 |
コア(支台)
| 名称 | イメージ | 特性 | 料金(税込) |
|---|---|---|---|
| レジン+グラスファイバー | ![]() |
歯の根っこのうえに立てる土台をコアと呼びます。 | 11,000円 |
詰め物(インレー)
※下記料金に11,000円(税込)の印象(型取り)料をいただきます
| 名称 | イメージ | 特性 | 料金(税込) |
|---|---|---|---|
| 金 | ![]() |
強度が強く、銀歯に比べ金属アレルギーの心配が少ないです。二次的な虫歯になるリスクも少なく、金属の劣化がありません。 美しさ:★★ 耐久性:★★★★ |
77,000円 |
| セラミックス | ![]() |
全てセラミックの白い詰め物で、残っている歯と適合が良い材料です。金属を使わないので金属アレルギーの心配がありません。透明感のある健康的な白い歯の輝きで天然歯の美しさを保ちます。 美しさ:★★★★★ 耐久性:★★★★ |
55,000円 |
詰め物(アンレー)
※下記料金に11,000円(税込)の印象(型取り)料をいただきます
| 名称 | イメージ | 特性 | 料金(税込) |
|---|---|---|---|
| 金 | ![]() |
強度が強く、銀歯に比べ金属アレルギーの心配が少ないです。二次的な虫歯になるリスクも少なく、金属の劣化がありません。 美しさ:★★ 耐久性:★★★★ |
99,000円 |
| セラミックス | ![]() |
全てセラミックの白い詰め物で、残っている歯と適合が良い材料です。金属を使わないので金属アレルギーの心配がありません。透明感のある健康的な白い歯の輝きで天然歯の美しさを保ちます。 美しさ:★★★★★ 耐久性:★★★★ |
66,000円 |
かぶせ物(クラウン)
※下記料金に11,000円(税込)の印象(型取り)料をいただきます
| 名称 | イメージ | 特性 | 料金(税込) |
|---|---|---|---|
| フルジルコニアクラウン | ![]() |
耐久性や強度にとても優れます。金属を使わないので金属が解け出して歯ぐきが変色したり、金属アレルギーの心配がありません。 美しさ:★★★ 耐久性:★★★★★ |
66,000円 |
| フルジルコニアクラウン(ステイニング) | ![]() |
上記フルジルコニアに自然な色付けを施したものです。透明感のある健康的な天然歯に近い見た目と強度を兼ね備えた被せ物です。 美しさ:★★★★★ 耐久性:★★★★★ |
88,000円 |
| e.max(ステイニング) | ![]() |
割れにくさはセラミックスの4倍と高く、金属を使わないので金属アレルギーの心配がありません。透明感のある健康的な白い歯の輝きで天然歯の美しさを保ちます。 美しさ:★★★★★ 耐久性:★★★★ |
88,000円 |
| 金 | ![]() |
強度が強く、銀歯に比べ金属アレルギーの心配が少ないです。二次的な虫歯になるリスクも少なく、金属の劣化がありません。 美しさ:★ 耐久性:★★★★★ |
165,000円 |
| セラミックス+金属使用(ノンプレシャス合金) | ![]() |
金属の土台にセラミックを焼き付けたものです。見た目が自然にもかかわらず、土台が金属なので耐久性にも優れます。保険の補綴物によく使われるコバルトクローム合金、ニッケルクローム合金を土台の金属として使用します。 美しさ:★★★★ 耐久性:★★★★ |
55,000円 |
| セラミックス+金属使用(プレシャス合金) | ![]() |
金属の土台にセラミックを焼き付けたものです。見た目が自然にもかかわらず、土台が金属なので耐久性にも優れます。金が75%以上(18カラット)含まれている合金を土台の金属として使用します。 美しさ:★★★★ 耐久性:★★★★★ |
93,500円 |
| オールセラミックス | ![]() |
金属を使わないので金属アレルギーの心配がありません。透明感のある健康的な白い歯の輝きで最も天然歯の美しさを保ちます。 美しさ:★★★★★ 耐久性:★★★ |
110,000円 |
ラミネートベニア(つけ歯)
※下記料金に11,000円(税込)の印象(型取り)料をいただきます
| 名称 | イメージ | 特性 | 料金(税込) |
|---|---|---|---|
| セラミックス | ![]() |
歯の表面を削り、そこにつけ爪のようにセラミック製の薄い人工歯を貼り付け、歯の形を変えます。 美しさ:★★★★★ 耐久性:★★ |
88,000円 |
詰めもの・被せもの・ブリッジの保証について ~安心の10年保証~
詰めもの、被せもの、ブリッジは外傷等の理由を除き、4ヶ月に1度の検診を受けて頂くことを条件に3年目まで無料で再作成を行います。4年目以降からは、下記の割合で患者様にご負担頂くことになります。
















