久々のファイル除去No.2
投稿日:2017年11月15日
カテゴリ:院長ブログ 根管治療(歯の神経の治療)
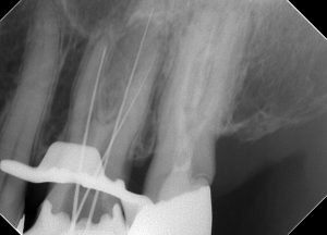
小物のファイル除去はしょっちゅうあるのですが、久々に大物が!(^^)!

湾曲部より先で破折しているファイルがあります。
こうゆうのは無理して取らなくてもいいのですが、少しでも根管治療の成功率を上げるためには、
形成→洗浄→充填
を確実に行う必要があります。
なので、残留歯髄など、感染源になるものが残っている可能性があるので、簡単にとれるなら取ったほうがいいです。

なんとか取れました(^^♪
これ、ニッケルチタンファイルでした( 一一)
NTはなかなか取れないです。
ステンレスファイルはテーパーが02なので上のほうが遊びがあるんですが、NTは04や06テーパーのファイルが多いため、なかなか遊びがないため、超音波で振動させるときになかなか共振しないんですね( ;∀;)
始める前からそんな予感はあったので気を引き締めてかかりました・・・
さて、来週は徹夜会ですね!!
私の上6の口蓋根を頬側アプローチで歯根端切除したケースを初めて人前でご紹介いたします。
気になる先生はぜひ、
内神田PMO
11階 ドクターブック様のセミナー室
21時~
よろしくお願い致します。
■ 他の記事を読む■


