Hyflex ハイフレックスを使うと湾曲根管は超簡単!
投稿日:2018年3月20日
カテゴリ:院長ブログ 根管治療(歯の神経の治療)

いつもお世話になっている先生からのご紹介で、
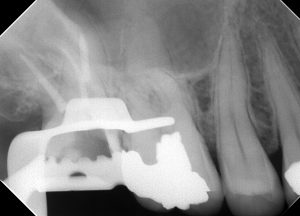
MB根が開かないというケース。
これ、湾曲がめっちゃ強いケースで、歯医者はみんな嫌がります。

慎重に事を進めれば、ここまでは誰でもできます。
しかし、根管治療のむつかしいところは、
『作業長を決めるところまではよかったが、そこまでを形成することができない』
です。
こんなに曲がっていると、

途中でファイルが引っかかり、ステップが出来てしまう。
こんな時は『ハイフレックス』が超便利!!


形成が出来れば充填も簡単にできます(^_-)-☆
このケース、難しいのが実は湾曲と関係なくて、

なんと、石灰化がひどくて、CTを撮りました
全然入口がわからなくなっており、CT上でも消えてました( 一一)
あと2mm頑張れば根が見えるというのがCTでわかっていたのでそーっと削りました・・・
今度の4/15のセミナーでは、このケースのハイフレックスを入れている動画も出てきますので参加の先生、お楽しみに!!
以前ご報告させていただいた、父の病気の件ですが、昨日の早朝、静かに息をひきとりました。
急性骨髄性白血病になったのが去年の5月で、そこから必死に昨日まで生きていました。
最後の方は、拒絶反応から全身の多臓器不全になり、肺炎で亡くなりました。
以前、ブログで何の気なしに書かせていただいたら、本当にいろんな先生方から励ましのお電話をいただき、本当に助けられました。
先週は土曜にバイト、日曜にセミナーと、本当に最後まで私はバタバタしており、日曜のエンドサミットを抜けて父の病室に行ったときはさほど苦しくなさそうで安心して家に帰りましたところ、朝の5時頃に急に容体が悪くなったとの電話があり、急いで病院に向かいました。到着すると久しく見ていない安らかな顔になっておりました。
せわしない息子で申し訳ないなと思いつつ、やっと楽になれた父の寝顔は私を励ましてくれているようにも見えました。
病室をでて、外の空気をすっていると、一輪だけ桜が咲いている箇所があり、妙に寂しく思えてしまい、大好きだった父を失った私の精神状態に似たものを感じました。
桜は好きなのですが、昔からお花見をすると少し寂しい気持ちになぜかなるのです。
日本は欧米と違い、学年の区切りが4月なので、別れと出会いを彷彿させるのでしょうか。
父は生前、どんな苦境に立たされても
「俺はラッキーだ」
が口癖でした。
たまたま受験戦争で敗れて入学した大学の学生寮では生涯の友を得ましたし、
貧しい家に生まれたことも、恵まれない子供のために寄付し続けるきっかけになれてよかったと言っておりました。
父は三井不動産に入社する前、実は長銀に落ちていて、「なんてついてないんだ」と当時は思ったそうですがその後、長銀が破綻したりして、
「自分の強運がこわい・・・」
とよく言っておりました。
私が受験で失敗したとき、「お前の運は俺がつかいはたしたからな!!実力でがんばれ!!」
なんて言われた時には、悔しくも笑ってしまいました。
歯科医師になって最近思うのが、
「歯医者で本当によかった、受験で失敗しなければ違う仕事につかなくてはいけないなんて、今となっては考えられない」ということです。
人生は本当に後にならないとわからないんですね。
きっと、父も天国で持ち前の強運を使い、趣味のデイトレに勤しんでいるのではないでしょうか笑
■ 他の記事を読む■


