虫歯を放置すると・・・|東京日本橋の歯医者|ほうじょう歯科医院新日本橋

マイクロスコープ/歯科用CT等を駆使した精密治療

歯を抜かない歯内療法

お問い合わせ・ご相談

予約変更の際は診察券番号もお伝えください

03-6262-3646

東京都中央区日本橋本町4-1-1 加島商館ビル2F

虫歯を放置すると・・・

投稿日:2014年12月4日

カテゴリ:院長ブログ

良く尋ねられるのですが、虫歯が痛くなるまでにはかなり時間がかかります。

最初、冷たい物がしみてきます。この時点で、けっこう深いです。

殆どの虫歯は無症状なのです。

次に熱い物がしみてきます。ここまで来ると、「神経を取らないと・・・」なことが多いです。

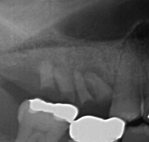
で、最後は神経が死にます。

ここまで来ると痛くないですが、神経が腐って、骨が溶け出す病気がスタートします。(怖いですよね?)

で、最後は・・・

PBN334_141126191048(調整後)

ここまで来ると、残せません。

 みなさん、虫歯は早期発見、早期治療、あと、予防が大事です。

 あ、あと、最後になりましたが、本日20時までです!何かありましたらお早目に!!!

 

 

トップへ戻る