歯根端切除術後、分岐部が露出した症例のその後
投稿日:2017年6月1日
カテゴリ:院長ブログ 根管治療(歯の神経の治療)
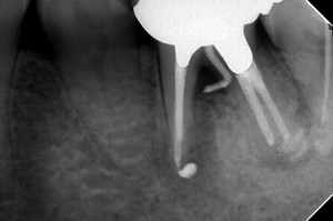
以前、ご紹介した症例で、
ガッタか、ビタペックスがめちゃくちゃ飛び出している症例
2か所に瘻孔(ふぃすてると呼ぶ人もいる)があり、一つは分岐部、一つは遠心根に。
遠心の瘻孔は7番(1本後ろの歯)の歯周ポケットからつながっている珍しい症例でした。
流注膿瘍と言われることがあります。
治療直後
分岐部の治りが悪く、瘻孔も治りません。
やむなく、歯根端切除術を行いました
その後、分岐部が歯肉縁上になっていったために、
私は個人的に嫌いなセパレーションを行いました。
なぜ嫌いかというと、やはりプラークコントロールが難しい。
やっても長く持たないことが多い。
補綴直後
終了から7カ月経過
骨の平坦化が起きています。
これは何かというと、歯根の距離がそこそこ稼げていたために、
ここが平らになったのです。
炎症傾向もみられず、とても順調。
破折しないといいのですが・・・
■ 他の記事を読む■










