11/27のDCVで|東京日本橋の歯医者|ほうじょう歯科医院新日本橋

マイクロスコープ/歯科用CT等を駆使した精密治療

歯を抜かない歯内療法

お問い合わせ・ご相談

予約変更の際は診察券番号もお伝えください

03-6262-3646

東京都中央区日本橋本町4-1-1 加島商館ビル2F

11/27のDCVで

投稿日:2016年11月28日

カテゴリ:根管治療(歯の神経の治療)

IMG_2479

昨日はDCVで、今年の私のテーマだった外科的歯内療法の話で講演させてもらいました。

石井先生に外科を習う前と後で術式がこう変わったということを前面にお話しさせていただきました。

終わった後、明海のエンドの先生に、「右下臼歯の話はすごくためになりました」と言ってもらえ、やってよかったと思いました。

また似たような話をするときはブログで告知しますんでよろしくお願い致します。

 

で、僕の次に発表していた加藤先生が外科的廷出の話をしていて、質疑応答で、柳沢先生がエンドと廷出どっちを先にやるかという話を質問していまして、その件で私なりの普段の臨床から選択している方法をお話します。

 

ぶっちゃけ、うまく行けば『どっちでもいい』ですが、わたしは、先に提出します。必ず。

多分、柳沢先生もそうなんではないかと思います。

 

理由は簡単で、歯肉、骨縁下にマージンがある場合、ラバーダムを掛けるために隔壁をすると思うんですが、止血のためにいろいろ大変ですよね。頑張ってラバーかけても無菌的にできないかもしれない。なので、先に延ばします。

そして、もう一つ理由があり、こっちのが大きいんですが、『エンドしたら早く築造!』これは鉄則です。

フックつけて何か月か廷出していく間に、リーケージすること間違いなし。

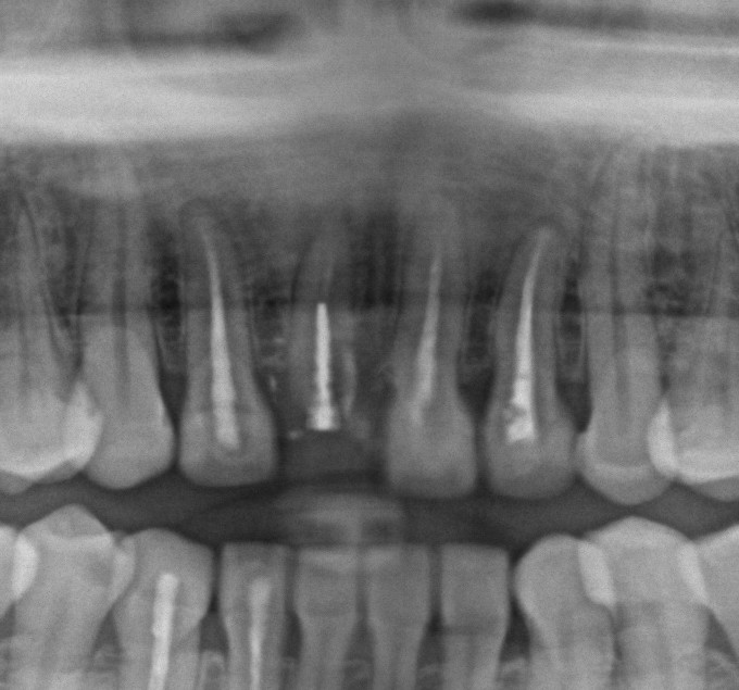
根尖病巣あっても廷出問題なくできます。こんな感じ

PBN1813_160815172523(調整後)骨縁下で破折。病巣も大きい

ZB1813_160822160844PICT0301(調整後)一番歯質が無い所でも9~10mmあります

DB181311_161028164327(調整後)落ち着いたらエンドします。このようなケースは根尖が大きく開いてること多いので、ポイント至適はマスト

DB181311_161028165002(調整後)シーラーが出てます

DB181311_161128160106(調整後)ばっちり骨も治りましたね。

 

こんな感じで私はやってます。まあ、なおりゃいいんですが、昨日の質疑応答で、時間なくてディスカッション出来てなかったので解説をさせてもらいました。

 

■ 他の記事を読む■

トップへ戻る