難易度の高い移植
投稿日:2017年4月4日
カテゴリ:院長ブログ 根管治療(歯の神経の治療)
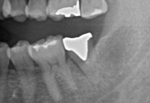
この歯から膿が出るとの事で拝見させて頂くことになりました
ポケットが10mmを超えており、嫌な予感。
クラウンを外してみるとマイクロで破折線が見えたので抜歯の必要があると患者さんにお話ししました。
通法では、抜歯→インプラント
という流れなんですが、一応、移殖も出来ない事はないとゆうお話だけして、次回、どうするか決めましょうということに。
正直、移殖を沢山やってきまして、このようなアグレッシブすぎるケースは失敗するかもしれないので最近は敬遠していましたが、患者さんの強い希望もあり、移殖することになりました。
この写真だと解りにくいですが、割れ目に沿って不良肉芽が・・・
ドナーサイトの8埋伏部・・・
普通に抜くだけでも緊張です
歯医者ならば嫌な予感しかしないですよね。歯冠が深めで・・・
頑張って抜歯し、速攻で移植!
へーベルかけたところは縁上になるように移植
骨縁下に仮蓋が・・・
樋状根で苦労しやした
かなり自然廷出し、縁上マージンになっていることに注目。
動揺もなく、きれいになりました
4か月かかりました。
移殖後、スーパーボンドで固定してはいけない。これは自然提出を妨げる可能性ありますものね。
外科+根管治療のコンビネーション症例ですね。
■ 他の記事を読む■













