近心根が・・・
投稿日:2015年12月14日
カテゴリ:根管治療(歯の神経の治療)
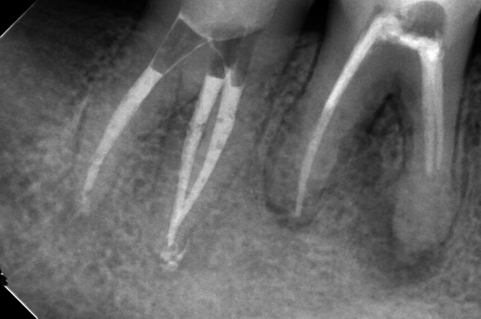
7番の痛みがどうしても引かないから診て欲しいとの依頼を受け、診させていただいた症例です。
自発痛が強く、仮蓋が外してありました。
但し、私が見たとき排膿などはありませんでした。(ほんとは、外さないでほしいです)
このような症例、私たちは、①湾曲が強いから残髄している②湾曲が強いからトランスポーテーションしている③・・・
みたいな感じであたりを付けていきます。
湾曲部あたりから、切削感がバージンな感じだったので、根尖まで綺麗にお掃除し、その日は終了。
紹介医から、痛み消えたとの報告を頂いたので、次の来院時
充填しました。
先端で癒合してるんですね。
シーラー出ちゃったけど治ってよかったです。
■ 他の記事を読む■




