歯周病が進行し、他院で抜髄になった1症例(副院長小長谷)|東京日本橋の歯医者|ほうじょう歯科医院新日本橋

マイクロスコープ/歯科用CT等を駆使した精密治療

歯を抜かない歯内療法

お問い合わせ・ご相談

予約変更の際は診察券番号もお伝えください

03-6262-3646

東京都中央区日本橋本町4-1-1 加島商館ビル2F

歯周病が進行し、他院で抜髄になった1症例(副院長小長谷)

投稿日:2016年4月9日

カテゴリ:根管治療(歯の神経の治療)

歯周病が進行しすぎると、神経を取らなくてはいけないぐらい、痛みが出るケースがあります。

僕ら歯医者はPーPulなんて言い方をするんですが、一般的に非常に予後が悪い。

何故なら、根尖付近(歯が埋まっている一番深いとこらへん)まで、歯周病が進行してしまっているので、抜歯になる事が多いのです。

私の最大のライバル、小長谷が「先生、どーすか?」と、どや顔で私に自慢してきた、素晴らしいケースがあったので、ご紹介いたします。

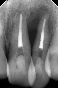
DB104821_150925142147(調整後)術前。21番22番を他院にて抜髄後、痛みが激しく当院に来院

 小長谷先生が初診からずっと診ていらした方なのですが、動揺(++)自発痛(++)骨吸収(+++)みたいな感じで、かなり厳しい症例なようでした。

DB104822_151006171835(調整後)根充直後

痛みは落ち着いたようですが、骨吸収がかなり激しい・・・。

叢生も厳しい為、補綴でFIXも難しいですよね・・・(←あまり私はやらないですが)

 

で、小長谷先生が気が済むまで基本的な歯周治療を進めて、私が最後に歯周再生療法を行うというプランを立案したのですが・・・

DB104821_160405183446(調整後)歯周基本治療終了後(SRP、再SRP)

あ、あれ、私の出番、なくないですか!?(笑)

 

EPICで二階堂先生も仰っておられましたが、前歯部は基本治療だけでも意外と再生することがあるというのをまざまざと感じました。

小長谷副院長、流石です。

 

トップへ戻る