樋状根のイスムス除去は大変|東京日本橋の歯医者|ほうじょう歯科医院新日本橋

マイクロスコープ/歯科用CT等を駆使した精密治療

歯を抜かない歯内療法

お問い合わせ・ご相談

予約変更の際は診察券番号もお伝えください

03-6262-3646

東京都中央区日本橋本町4-1-1 加島商館ビル2F

樋状根のイスムス除去は大変

投稿日:2017年1月7日

カテゴリ:根管治療(歯の神経の治療)

新年、明けましておめでとうございます。

今年も『ほうじょう歯科医院』をどうぞよろしくお願い致します。

 

去年に、紹介元の先生から、「症状が消えないので見てほしい」との依頼を頂いてやらせてもらった症例なのですが、

DB121236_151208182043(調整後)紹介元の先生から37番の依頼を頂いたのだが、36番に瘻孔があったためGPを挿入している

 

原因かどうかはわからないんですが

DB121236_151208182043(調整後)

太めに形成しているのにも関わらず、GPの取り残しが・・・

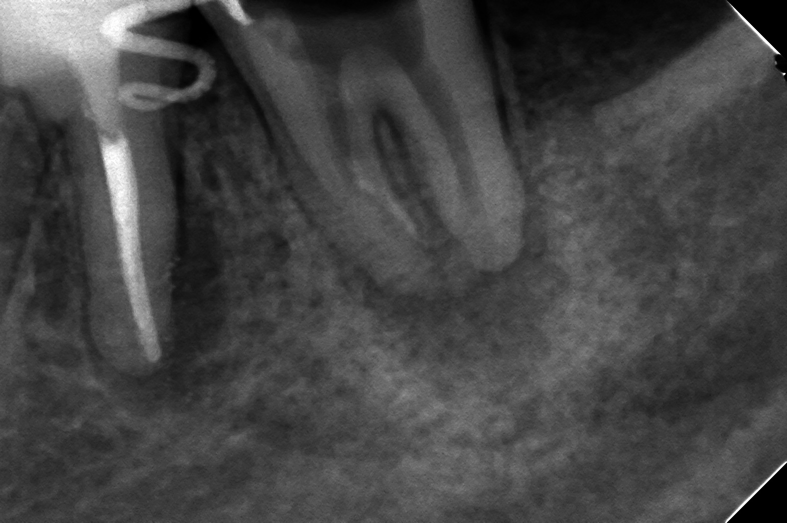
これは、M根とD根が細い隙間(イスムス)に入っちゃってるからなんですね。

DB121237_151217204257(調整後)GPを除去して、壊死した歯髄を取り

DB121237_160107200332(調整後)垂直加圧しました

このような症例はメインポイントが入らないので、基本はコンテニアスウェーブは使えないですので、薄くSコンデンサーでシーラーを壁に塗布して、そーっとβを入れる感じでやってます。なので、GPもしくはシーラーが少し(結構)出てしまってます。

で、半年後

DB121237_161221191012(調整後)

綺麗に治りましたね!

飛び出てるのはいただけませんが、治れば良しです。

トップへ戻る