樋状根とは・・・?
投稿日:2015年3月14日
カテゴリ:根管治療(歯の神経の治療)
下の一番奥の歯は寿命が短いです。(平均60歳くらいで喪失)
犬歯とか、平均65歳くらいまで残ります。
28本もある歯の中でなぜ、下顎の7番だけが寿命が短いのか・・・
原因の一つに、一つ後ろの親知らずが有ります。親知らずが悪さをして、ダメになるケース、非常に多いです。
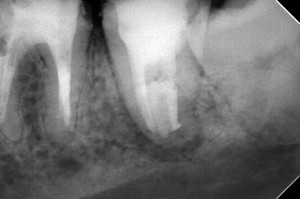
しかし、下の7番にはもう一つ、ダメになる大きな要因が・・・
そう、タイトルにもある樋状根です。
樋状根というのはその名の通り、神経管が癒合して雨どいのようなU字型になる現象の事で、アジア人は樋状根の確立が超高いのです( 一一)
樋状根は難しいです。
何故なら、神経の管の治療は
こんな感じのやつでお掃除、するんですね
そうすると、なかなか、
こうはなりません。
やりかたは、過去のブログ参照!!!
(以下、過去のブログより)
ファンの分類C1
ファンの分類C2
今回紹介したケースは3根尖のC2です。
樋状根、一つとってもバリエーション多すぎません?
歯医者は経験で、幾多の症例と戦わなくてはいけません。
なので、こういう、イレギュラーだらけのケースは超難しい。(私は好きだけど)
■ 他の記事を読む■





