外科後のリカバリーは大変|東京日本橋の歯医者|ほうじょう歯科医院新日本橋

マイクロスコープ/歯科用CT等を駆使した精密治療

歯を抜かない歯内療法

お問い合わせ・ご相談

予約変更の際は診察券番号もお伝えください

03-6262-3646

東京都中央区日本橋本町4-1-1 加島商館ビル2F

外科後のリカバリーは大変

投稿日:2015年11月6日

カテゴリ:根管治療(歯の神経の治療)

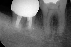
PBN97_140605115041(調整後)初診時

7番の根尖に大きな病変を認めます。

噛んだときのお痛みが主訴で来院されました。

開業当時の患者さんで、そりゃもう、無茶苦茶頑張りました(今も頑張ってますよ!!笑)

DB9747_140617125230(調整後)根充後

自分で言うのもあれですが、ホントに綺麗に時間かけてやったので治らないわけがないと思ってました。

根充の質も悪くありません。

DB9747_140807122016(調整後)築造時

コア材も、マイクロを使いながら詰めたので、死腔がほとんどありません。症状も消失していました。

 

DB9747_141202121635(調整後)術後半年

大臼歯で、7番のレントゲン像は、実際に写る範囲よりかなり大きいので、じっくり経過を見ようと思っていたのですが、再び、咬合痛、頬側の腫れが再発・・・。

外科を決断しました。

DB9747_150210120430(調整後)外科後

7番は再植しか出来ません。再植は破折などのリスクがあるので、可能なら歯根端切除をしたいところですが、7は骨の厚みの関係上、再植になってしまいます。

再植後、糸で抜歯窩に止めますが、糸は必ず緩むので、少し提出してきてしまいます。

しかし、スーパーボンドで、隣にがちがちに固定すると、アンキローシス(骨と癒着すること)が起きてしまうリスクがあがるので、私は糸で止めてます。

DB9747_150901140708(調整後)外科後

根尖の病巣は治ったが・・・

DB9747_150901140708(調整後)

そう、分岐部から排膿してきてしまいました。

エンド的には成功でも、ルートトランクが浅くなると、歯周病で最も厄介な、分岐部病変になってしまうことが・・・

以前の私なら、ここで詰みでした。

しかし、歯周病を得意になりたい一心で、EPICの門を叩き、二階堂先生に再生療法を習い、そこで培ったものが、まさかこんなところで生きるとは・・・

DB9747_151106115509(調整後)EMD後

DB9747_151106115509(調整後)

排膿もなくなり、本当に良かった・・・透過像も心なしか良くなってきている。

 

 最近、思うのですが、エンド専門でやっているわけではないので、その辺のジレンマに悩まされることも多いですが(根管治療だけで飯を食っていくには自費にするしかない)、私がゴリゴリのエンド頭しかなかったら、救えない歯もきっとあるんだなぁと思います。

GPとして、なんでも屋として、胸を張って実力を出し切って頑張っていこうと、思わされる一症例でした。

 

 

 

 

 

トップへ戻る