外科後、分岐部が露出してしまった症例|東京日本橋の歯医者|ほうじょう歯科医院新日本橋

マイクロスコープ/歯科用CT等を駆使した精密治療

歯を抜かない歯内療法

お問い合わせ・ご相談

予約変更の際は診察券番号もお伝えください

03-6262-3646

東京都中央区日本橋本町4-1-1 加島商館ビル2F

外科後、分岐部が露出してしまった症例

投稿日:2016年12月9日

カテゴリ:根管治療(歯の神経の治療)

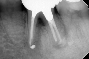
DB148536_160331163903(調整後)分岐部透過像、充填剤の押し出しが認められる

主訴は「フィステルがいろんなところからできてしまった」という患者さんです。

とても気さくで、明るい方で、歯に異様に詳しい笑

一先ず、瘻孔からアクセサリーポイントを入れると

DB148536_160331165515(調整後)遠心根に注目。7の分岐部から入ってます

7番の分岐部に出来ていた瘻孔はなんと6の遠心が原因でした。7は動揺が強く、歯周病を疑っていたので驚きました。このような症例を流注膿瘍と言います。(原発と思われている部位から離れた場所に膿瘍を形成すること)

CTを撮影すると

Project_20161209_000シーラー出すぎ( ;∀;)どやったらこんなんなるのよ|д゚)

パーフォレーション部をMTAで詰め、根管治療しましたが、出過ぎた異物にカラダが反応しているのでしょうか、全く良くなりません。

歯根端切除手術を試みました

DB148536_161209141752(調整後)術後半年。骨は出来ているが・・・

手術中にパーフォレーション部の骨ロストが激しく、縫合後、分岐部が露出してしまいました・・・

やむなく患者さんに了承いただき、セパレーションしました。

とてもまじめな患者さんで、セパレーション部のフロスを毎日してくれているせいか、歯肉は非常に引き締まっており、メンテナンスに当たっている衛生士も毎回関心しているしだいです。

普通、抜歯が正解だと思います。私も抜歯が正解な気がします。

私はこのケースは患者さんの歯の保存にかける執念があったから現在、使えているんだと思います。

普通の患者さんはトンネリングや、セパレーション後、やはり腫れやすかったりするのです。ましてや、歯根端切除により、歯根が短くなっている。

7の動揺も現在、嘘のように落ち着き、「歯って何だろう・・・」と思わされる症例でした。(7は歯髄診で生活反応が現在もあります!)

 

根管治療をしっかりできる先生が多くなって、このような可哀そう過ぎる患者さんが減ってくれると良いのですが・・・

 

 

クリスマスが近くなってきましたね。

私は、毎年、誰にも頼まれていないのにクリスマスのたびに自分のイタイ過去をブログで懺悔するというのをやってまして、今年も何か書かんとなと思ってまして、ホント困ってます。

人間、そんな、叩いてホコリばかり出てくるクリスマス送ってる人間なんてそんないるわけないんですよ。今年を最後にクリスマス懺悔を辞めます。来年からやりません。今年はやります!!(←馬鹿か俺は)

 

 

トップへ戻る