マイクロあると便利な時
投稿日:2014年11月10日
カテゴリ:院長ブログ
よく、 「マイクロなんかあったら時間かかっちゃって、診療回せないよ」
なんて意見を耳にしますが、こんなケースではどうでしょう?
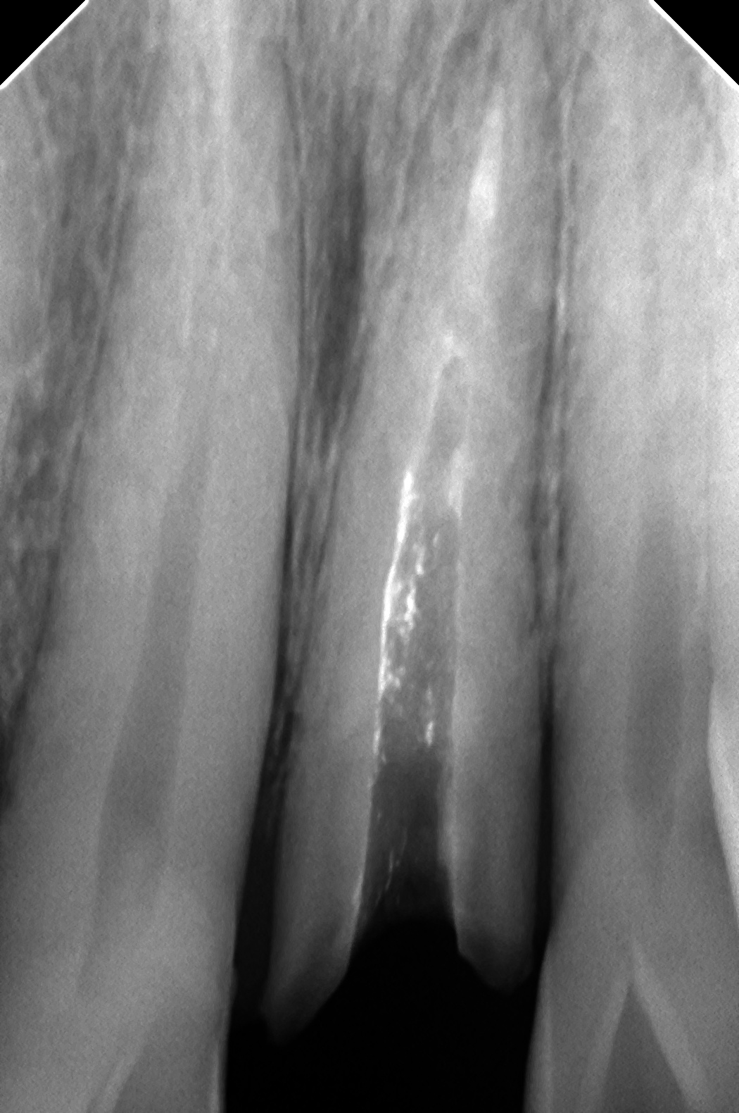
鋳造欠陥はなはだしい笑メタルコアが割れています。
普通に削り飛ばすと、時間かかるし、歯も削っちゃいそう・・・
んで、マイクロあれば5分くらいで
上のほうを削り、金属の薄いところを作り、マイクロで超音波を使いながらぺりぺりはがすと、歯も傷つかないしかんたんですね(^^♪
これ、マイクロないとすごく時間かかります・・・
■ 他の記事を読む■




