ガムピーリング
投稿日:2016年7月24日
カテゴリ:院長ブログ
前の職場でお世話になっていた先輩から教えてもらったのですが、ピーリングはレーザーより、カルボールの方が痛くないと聞き、それ以降、ピーリングはカルボールで行っております。
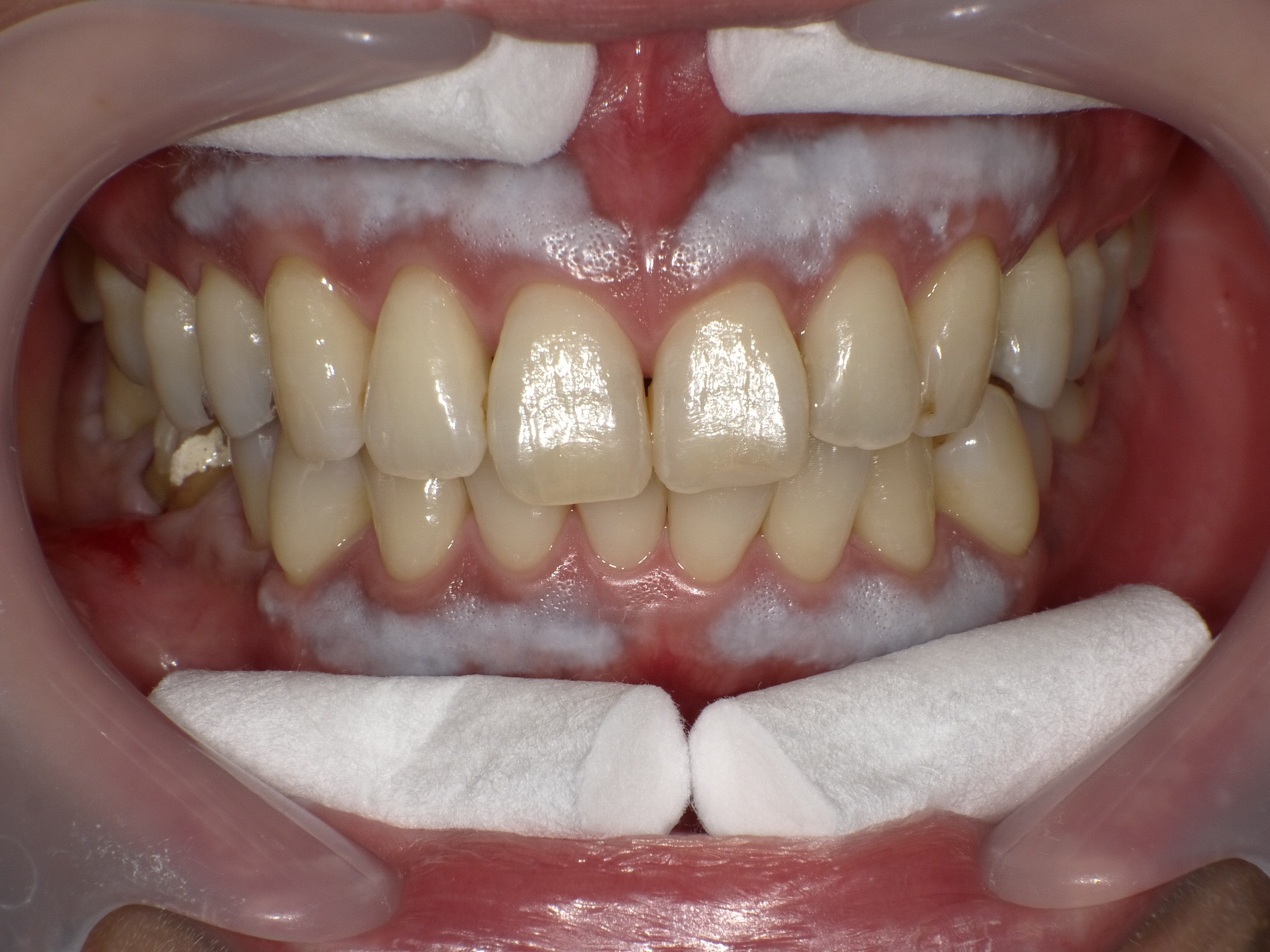
術前 過去の喫煙により歯肉が黒くなっている
術中 痛そう・・・表麻使ってあげましょうね
超キレイ!!
術式ですが、カルボールを塗り、歯肉が白くなったら無水エタノールで中和というのを3回繰り返します。
注意事項ですが、可動粘膜に付くとただれるので、角化歯肉のみに付けるようにしてください。怖かったら、可動粘膜にワセリン付けましょう。(昔、可動粘膜に付けてしまって、迷惑をかけてしまったことがあるので、とても気を付けています)
簡単+導入コストが超安いので、やってない先生がいらっしゃいましたら是非お勧めです。
■ 他の記事を読む■


