パントモのみの診断は怖い
投稿日:2015年10月2日
カテゴリ:根管治療(歯の神経の治療)
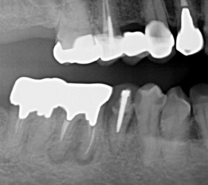
術前の46番を見て頂くと、根尖病巣があるのはわかりますが近心根は2根で、どっちかが途中までしか形成できなかったのかな~くらいのイメージで治療を開始。
すると、近心舌側根から、GPが出てこないな~なんて思っていたら、
金属っぽいものが・・・|д゚)
簡単に取れそうだったので取ってみると・・・
凄い長いのが出てきました。(動き始めるまでは早かったのですが、そこからが長かったです。長いファイルの除去に良くあることなんですが。)
長すぎてパントモ上では普通のGPと誤認していました。
デンタルって大事ですね。
めでたしめでたし。
■ 他の記事を読む■




術後