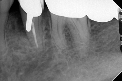
パーフォレーション(誤ったところに穴が開けられた症例)のリペア
このように根尖に病変がないのに、病気が出来てしまうケースがあります。
この症例はメタルコアを形成するときに間違って根管内に穴を空けられてしまったようです。
動画を作ったので、解説します。
今回の流れをざっと説明すると、
1、本来の根管を見つける
2、MTAを充填
3、本来の根管を充填
という流れになっております。
MTAですべての根管を充填するという方法も考えましたが、ポストスペースが短いと、歯根破折のリスクが上がりますので、パーフォレーション部のみをMTAにて充填する方法をとりました。

穿孔部にはMTA,根管にはコンテニアスウェーブ法にて充填しました。
パーフォレーションは予後がとても悪いのですが、MTAとマイクロスコープの登場で格段に成功率があがりました。
是非、パーフォレーションリペアを始めようとしている先生がいらっしゃいましたら、動画を参考に練習してみてください。
解らないことがあれば、12/14の徹夜会でご質問お願い致します。


