根の先の方で破折しているファイルを除去した症例


ここでファイルが折れています。
非常にこのようなケースは除去が難しいです。
理由は大臼歯は多かれ少なかれ湾曲しており、顕微鏡を使ってもファイル自体が見えないことが予想されます。

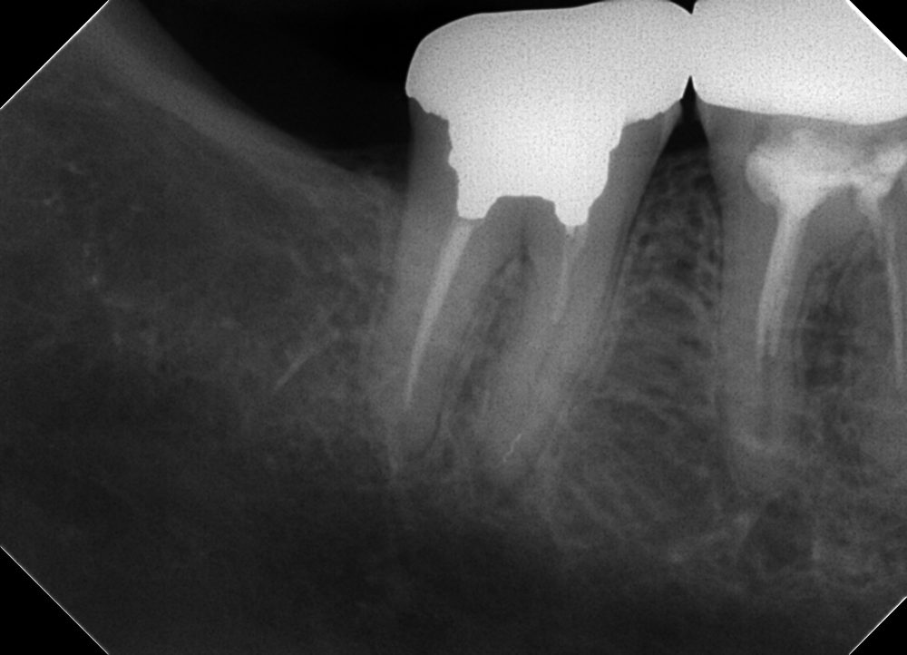
治療をすすめ、大体綺麗にした次の回が始まる前の状態のレントゲンです。
しっかりファイルが残っていますね。

折れているファイルがありますが、根の先まで器具を簡単に通すことが出来ました。バイパスと呼ばれています。
このケースは近心根が先の方でつながっているケースで、2本の神経管が合流する三角州のようなところにファイルがはまっているようでした。
超音波チップで規定の時間洗浄し、ダメ押しのXPエンドのフィニッシャーを入れると、

簡単に取れました(^^♪
遠心を根管充填した後にレントゲンを撮ったのは、患者様がファイルが残っているのをとても気にされていたので、当初、そのまま根管充填しようと考えたのですが、一応安心していただくために近心根を充填する前に撮影しました。(このまま充填すると取れたのかわからないレントゲンになってしまう)

根管充填後。
シーラーが少し根の外側にもれてしまいましたが問題ないと思われます。
XPエンドのフィニッシャーは、ともに切磋琢磨している先生の中にも必要ないと言っている先生もいますが、ファイルだけでなく、マイクロで見えなかったところに引っかかっているガッタパーチャが取れたりすることもあり、わたしは無いよりはあった方がいいと考えています。根管内が削られないというのも非常に魅力です。
ただ、一回しか使えないのでコストがバカ高いです。
初回でいきなり折れることもあります。
導入の際はお気を付けください。
また、ファイルが折れたままでも治ることは多いです。このケース、実際は除去できなくても問題なかった可能性が高いと思われます。
この症例で重要なのは、「あまり歯を削らずに洗浄の過程でファイルが偶然取れた」ということです。
このファイルを除去するためには、本気で取ろうとしたらかなり歯を削ることになります。
ファイルを除去するのはきれいに根管内を掃除するのに邪魔だからするのであって、ファイル除去自体は目的ではないのです。
なので、この症例、取れない場合は無理しないと決めて治療をしていました。
なかなか難しいお話ですが非常に大事な事なので、
11/29(金)の徹夜会でお話することにしました。
沢山の私のファイル除去症例と、夜なべして作った、ファイル除去の練習動画を参考に、除去法、適応症、目的などを皆様と一緒に考えていけたらと思います。
21時~
内神田PMO11階 ドクターブック様セミナー室
参加費無料
よろしくお願い致します。


