破折が強く疑われた歯の根管治療

2016年の上旬に初診で拝見させて頂いた症例です。
この方は歯科衛生士さんで9人の歯科医師から抜歯を薦められたとのことで私に意見をとのことでお見えになりました。
確かに厳しいケースだと思います。
1、近心根が根尖(先の方)から根管口(上の方)まで、レントゲン透過像がある
2、分岐部(二股の歯根の付け根)にレントゲン透過像がある
という理由でまっとうな先生であれば、抜歯を薦めると思われる症例ですが、患者さんも「本当に割れているならあきらめます」とのことで被せ物を外してみることにしました。
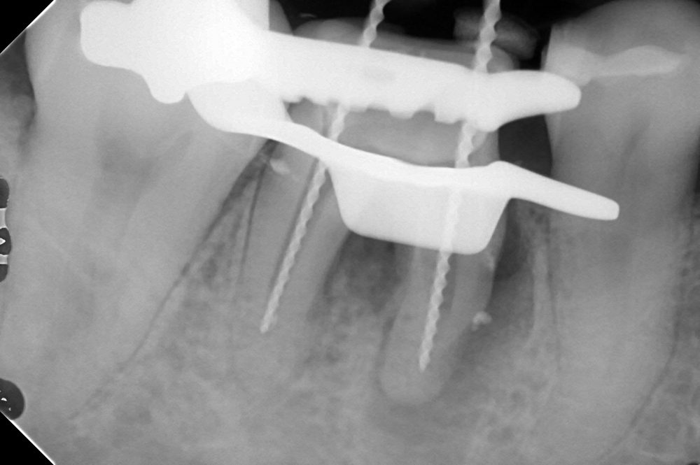
大きな穿孔を認めるものの、

根管形成を行い、

根管充填を行いました。
先日、被せ物が外れたため、4年ぶりにこの歯のレントゲンを撮影させて頂きまして、

非常に良く治っておりました。
症状もまったくないそうで、本当に良かったです。
たまたま割れていなかったのでこのようなミラクルが起こりましたが、この症例を通して、割れていそうな歯でも、実際に被せ物、コアを外し、精査しないと真実はわからないことを私自身も学びました。
レントゲンはあくまで影絵です。本当の状態を観察するにはマイクロスコープで実際に覗くことが重要です。


