MEAWを用いた矯正治療
このページの目次
MEAW(ミョー)矯正とは

MEAW(ミョー)矯正とは、Multiloop Edgewise Arch Wire(マルチループ エッジワイズ アーチ ワイヤー)の頭文字をとったものです。
通常の矯正治療で用いる直線のワイヤーと違い、各々の歯の間にL字型のループを付与することで、歯を移動させる方向に自由度が増えます。
また、ループがバネのような働きをするため、小さい力を持続的にかけることが可能になります。
矯正学の原則として、小さい力を持続的にかける方が、強い力を一気にかけるより、早く歯が動くことが知られています。
MEAW矯正の始まり
80年代にボストン大学のキム先生が考案された方法です。キム先生は日本語も話されたそうで、「妙(ミョー)に歯が動く」と冗談交じりに講演されていたと聞きます。
日本では神奈川歯科大学の佐藤貞雄教授がMEAW矯正を研究されていました。時代が進み、科学の進歩で新しい矯正器具やマウスピース矯正がどんどん開発されていますが、MEAW矯正ならではの利点もあることから現在でも多く用いられる手法として残っています。
MEAW矯正のメリット
MEAW矯正の主なメリットについては下記の通りです。
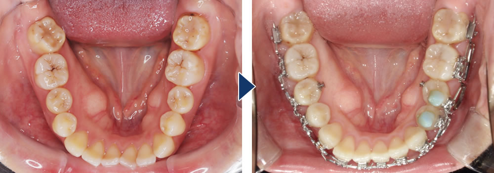
メリット① 歯を1本1本、細かくコントロールできる

MEAW矯正の最大の利点は1本1本の歯を自由な方向に力をかけることができるところです。例えば、小臼歯で捻転してしまっている歯を回転させるのは、難しいとされていますが、MEAW矯正では比較的容易です。
メリット② オープンバイト(開咬)を非抜歯で改善できる

オープンバイトという、奥歯でしか噛み合わない症例では一般的な矯正では、通常前から4番目の歯を抜歯して前方の歯を後ろに引く力を使い、噛ませていく方法をとりますが、MEAW矯正では奥歯を圧下、後方に移動させつつ、前歯を引き出し、噛み合わせることで抜歯を避けることができます。
メリット③ 噛み合わせの調整・改善が可能

噛み合わせとは、最終的に歯と歯が噛み合ったところに落ち着きます。顎位を治すという治療目的を果たすことにも有効です。
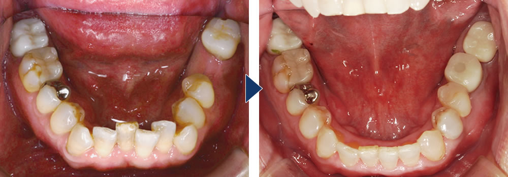
メリット④ 歯を抜かずに歯並びの改善が期待できる

歯列を広げることで本来、抜歯が必要な症例でも歯を並べることが出来ることがあります。
MEAW矯正のデメリット
MEAW矯正のメリットは他にもたくさん挙げられますが、デメリットもよくご理解いただいたうえで治療を検討されるといいかと思います。
デメリット① 審美的によくない
金属色のワイヤーが見えてしまいます。近年、白いロジウムコーティングのワイヤーが売られていますが、MEAW矯正では金属色が目立ちやすい、コバルトクロムやステンレススチールを使用します。
デメリット② 食べかすが詰まりやすい
ループを多数曲げることから、食べかすが挟まりやすく、歯ブラシも大変です。治療中は甘いものを極力避けつつ、歯ブラシや歯間ブラシを使っていただく必要があります。
デメリット③ 抜歯矯正と違い、小顔効果は望めない
抜歯矯正では横から見た顔貌がすっきりするような効果を得られるケースがありますが、MEAW矯正ではそのような効果は望めません。
治療の前に
MEAW矯正は、他の矯正と同様に術前の検査がとても重要です。
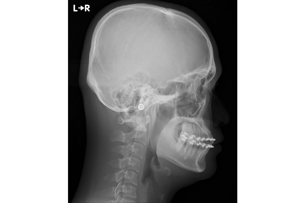
セファロレントゲン

セファロと呼ばれる、規格化されたレントゲンを大学病院で撮影してきてもらい、治療が可能か判断します。
顎の動きを計測

顎の動きを計測し(キャディアックス等)、噛み合わせのズレを確認する場合も別の医院さんをご紹介させていただいております。
患者さんからすると面倒ではありますが、良い結果を出すためには事前の検査が何より重要です。


